Обратите внимание: материал опубликован более чем четырнадцать лет назад

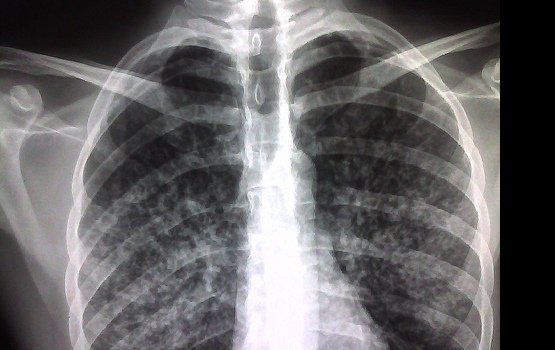
Растет число детей, больных туберкулезом

Растет число детей, больных туберкулезом
Латвийский инфектологический центр заявил: с одной стороны, заболеваемость туберкулезом за последние годы в республике снизилась вдвое, а с другой – наблюдается рост этого опасного заболевания среди детей в возрасте до 14 лет.

Главный врач Туберкулезно-легочной клиники центра Андра Цируле сообщила: Латвия по-прежнему находится в зоне высокого туберкулезного риска, и вопрос пора решать на национальном уровне.

 

«Непривитый ребенок может умереть»

 

Всемирная организация здравоохранения (ВОЗ) включила Эстонию, Латвию, Литву и Болгарию в список 27 стран мира с высокой степенью резистентного туберкулеза. Из стран – членов Евросоюза в этот перечень вошли только вышеназванные страны.

 

Как отмечает председатель правления Латвийского туберкулезного фонда Янис Лейманис, медицинское обследование на туберкулез и его лечение для пациентов осуществляется бесплатно. Однако бесплатность лечения не гарантирует ожидаемого эффекта. И это пугает. Общее число больных в 2011 году составило 788 человек, умерли от болезни 12 человек. Только за два первых месяца текущего года зафиксировано 138 первичных случаев заболевания, из них в 16 случаях туберкулезом заболели дети, а в двух – подростки.

 

В туберкулезном отделении Даугавпилсского центра легочных заболеваний в настоящее время лечится более 70 пациентов. Это больные из Даугавпилса и других местностей Латгалии. Лечение туберкулеза осуществляется как амбулаторно, так и стационарно. Когда бацилла перестает выделяться, больной считается незаразным, но реабилитации на бесплатном курорте для закрепления позитивных результатов продолжительного лечения, как это было в советское время, не предусмотрено.

 

Настораживает решение некоторых родителей не вакцинировать своих детей против туберкулеза, что, по мнению советника по вопросам туберкулеза Европейского регионального бюро ВОЗ Ричарда Залескиса, является преступлением. Со слов эксперта, по заболеваемости туберкулезом страна занимает третье место в Евросоюзе, регистрируется 35 смертей на 100 тыс. населения. Тогда как в Западной Европе этот показатель ниже более чем в шесть раз. «Если родители в Латвии сейчас отказываются от вакцинации детей против туберкулеза, то это преступление, потому что непривитый ребенок может умереть», – предостерегает Залескис. Доктор Ивета Озере, продолжая эту мысль, замечает: в последние годы охват детей вакцинацией против туберкулеза снизился до 95%.

 

Туберкулез принято признавать социальным заболеванием, однако даже самые успешные и чистоплотные от него не застрахованы. Поэтому всем, независимо от условий проживания и достатка, следует помнить о своевременном прохождении медицинского осмотра, в том числе рентгена легких.

 

Активизировались клещи

 

Еще одной напастью являются пробудившиеся клещи. Специалист по связям с общественностью ЛИЦ Велта Пуриня проинформировала, что 23 марта житель Латвии снял с себя первого в этом году клеща, которого подцепил, убирая на кладбище могилу родственника. Будучи не привитым от энцефалита, он принес клеща в вирусную лабораторию, где к счастью и было выявлено, что данная особь энцефалитной не является.

 

По данным 2011 года, с диагнозом «энцефалит» в Риге проходили стационарное лечение 159 пациентов и 27 лечились от болезни Лайма. Амбулаторно от болезни Лайма в Латвии в прошлом году лечились 910 пациентов. Поэтому медики настоятельно рекомендуют: собираясь на природу, надо правильно одеваться и использовать репелленты.

 

За пять последних лет количество пациентов с болезнью Лайма в Латвии сократилось на 15%, а количество больных, укушенных энцефалитным клещом, возросло на 67%. Сезон активизации энцефалитного клеща в Латвии – с марта по ноябрь.

 

Стоимость прививки – почти 16 латов

 

Сейчас фактически последний срок, когда еще можно сделать прививку от клещевого энцефалита. Но правильнее всего, по мнению специалистов, прививаться в январе–феврале, когда клещи еще не активны. Для первоначальной вакцинации необходимы три прививки: первая, вторая через 1–3 месяца. После второй прививки в течение 2 недель вырабатываются антитела. Третью вакцину делают через 9–12 месяцев. Долгосрочный иммунитет вырабатывается после третьей прививки (на 3 года). Ревакцинация необходима через 3–5 лет. Но существуют и ускоренные схемы. Специальную вакцину для детей можно применять с возраста одного года. Прививки делают в любой поликлинике, центре вакцинации или Латвийском центре инфектологии. Стоимость прививки в центре вакцинации – 15,90 лата (детям – 14,90 лата). Привить ребенка можно бесплатно, но только в самых зараженных клещами регионах страны. Их много, но Даугавпилсский сюда не входит в отличие, к примеру, от Резекненского. Однако дети самого города Резекне бесплатной вакцинации не подлежат. Средний показатель заболеваемости клещевым энцефалитом в Латвии составляет 11,96 случая на 100 тыс. населения. Наиболее опасными регионами являются окрестности Алсунги, где этот показатель составляет 97,21, Павилоста – 80,02, Дундага – 66,54. В 2011 году вакцинацией были охвачены более 10 тыс. детей в возрасте от года до 18 лет. Многие врачи поднимают вопрос о необходимости поголовной вакцинации, ведь и горожане часто летом выезжают в лес или опасные регионы. Однако у государства для этого денег нет. Напомним, что присосавшегося клеща необходимо удалить как можно раньше, ведь основная масса возбудителей заболеваний попадает в организм человека в первые минуты укуса. Удаленный клещ (должен быть живым и неповрежденным) помещается в емкость с плотной крышкой и может быть доставлен в вирусологическую лабораторию для исследования на наличие вируса клещевого энцефалита. Если такой возможности нет, снятый клещ сжигается или заливается кипятком. Оптимальным будет раннее обращение в травматологический пункт, врач быстро удалит клеща и обработает ранку. В течение месяца после укуса пациенты должны внимательно наблюдать за своим самочувствием. Если в этот период появляется головная боль, повышается температура, немедленно обращайтесь к врачу для назначения лечения и предупреждения осложнений.