Обратите внимание: материал опубликован более чем пять лет назад

Легкие вакцинированного и невакцинированного, заразившегося Covid-19: в чем отличие?2

Легкие вакцинированного и невакцинированного, заразившегося Covid-19: в чем отличие?

Вакцинация от Covid-19 полностью не защищает от заражения коронавирусом, однако различия заметны, если наблюдать за самим ходом болезни. Сравнение двух рентгеновских снимков ясно показывает, как это выражается по отношению к повреждениям легких.

Утвержденные Европейским агентством лекарств вакцины от Covid-19 работают хорошо, однако полностью от заражения они не защищают. В отдельных случаях зафиксированы в том числе тяжелые и летальные выражения болезни, однако эксперты единогласны, что в случае дельта-штамма риск пережить тяжелые осложнения немного больше, чем заразившись распространенными ранее видами вируса.

 

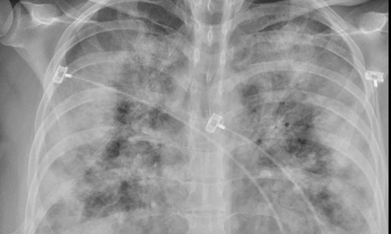
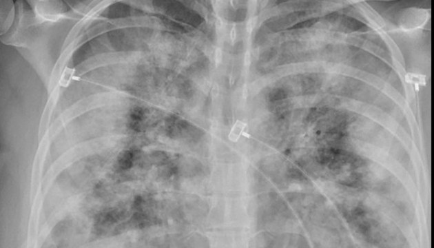
Однако факт, что вакцины защищают, по-прежнему в силе. Поэтому те, кто вакцинирован и все-таки заразился коронавирусом, может считаться с куда более легким течением болезни, чем невакцинированные лица. То, насколько велико различие, наглядно видно на сравнении двух рентгеновских снимков.

 

 

На рентгеновских снимках, которыми в Twitter поделился руководитель отдела инфекционных заболеваний Университета Мэриленда Фахим Йоунус, можно увидеть очень разные легкие. В обоих случаях это легкие пациентов, зараженных Covid-19, однако на одном снимке видно гораздо больше светлых теней, чем на втором. Белые тени - так называемое "матовое стекло", возникающее при воспалении легких. Если в тканях накапливается вода, то на рентгеновских снимках она видна как "светлые облака". На втором снимке легких такого эффекта практически нет. Это легкие вакцинированного от Covid-19 человека, который очевидно лучше перенес инфекцию.

 

 

В начале 2021 года доцент Техасского технического университета Бриттани Бакхед-Кендалл забила тревогу: "После выздоровления от коронавируса легкие выглядят гораздо хуже легких любого курильщика, которые мы до этого видели", - сказала тогда врач. Телеканал WGN America тогда сообщил, что рентгеновские снимки раскрывают драматическую разницу между легкими здорового человека, курильщика и пост-ковида.

 

Врач больницы Университета Джорджа Вашинргтона Кит Мартман еще в марте 2020 года указал, что Sars-CoV-2 обширно закупоривает легкие. В тот раз он опубликовал видео с поврежденными легкими, которым искусственной вентиляции уже не было достаточно, чтобы поддерживать жизнь пациента, поэтому требовались более радикальные мероприятия. Изначально заболевший жаловался "только" на озноб, кашель и нехватку дыхания.